性別決定與分化是生命科學領域的熱門命題之一。魚類具有性別決定方式多樣、性別分化過程可塑等特點,眾多科學家以低等脊椎動物的硬骨魚類作為實驗材料,研究脊椎動物的性別決定與分化。通常,魚類的性別決定與分化是遺傳因素和環境因子協同作用的結果,其中,群體社會行為則是具有階級屬性的群居型魚類的主要性別調控因子。迄今,有關社會行為與魚類性別分化的關系研究多見于繁殖生態學方面的描述,至于細胞和分子水平的過程與機制研究鮮有報道。眾所周知,??~(俗稱小丑魚)是珊瑚礁群居型魚類的典型代表,其性腺發育受群體社會等級的嚴格控制,是研究社會行為與性別分化關系的優良模型。此外,開展海葵魚性別調控機制的研究也將為海水觀賞魚類增養殖業發展提供理論依據。
中國水產科學研究院黃海水產研究所漁業資源分子生態學團隊與廈門大學魚類生態與多樣性保護團隊合作,以??~代表種——克氏雙鋸魚(Amphiprion clarkii)(俗稱雙帶小丑魚)為研究模型,解析了社會控制模式下海葵魚性別決定與分化的分子調控機制。研究成果以“Transcriptome Profiling and Expression Localization of Key Sex-Related Genes in a Socially-Controlled Hermaphroditic Clownfish,Amphiprion clarkii”為題發表于國際學術期刊International Journal of Molecular Sciences。
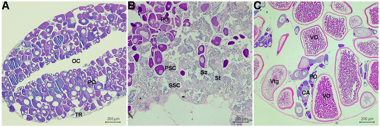
研究團隊培育構建了具有穩定等級結構的??~社會群體,比較分析了未分化(NG)、雄性(MG)和雌性(FG)三種性別類型個體的性腺組織學特征和轉錄組表達譜差異,發現未分化個體與雄性個體的組織學特征和基因表達模式呈現出高度的相似性,而與雌性個體相差甚遠,這與其性腺發育時序相一致,也體現了表型、基因型和功能的一致性(圖1)。挖掘到數個參與??~性腺發育的候選基因,確定了以cyp19a1a為核心的類固醇生成通路在卵巢發育和維持過程中發揮著重要作用,而Amh和sox8可能是調控精巢組織發育的潛在關鍵因子。通過熒光原位雜交技術對關鍵基因的表達定位分析,證明了dmrt1在海葵魚中的表達模式不同于其他硬骨魚類,可能在精巢和卵巢組織的早期發育過程中均發揮一定促進作用(圖2)。
該項研究不僅豐富了對??~性別分化信號通路的認識,也可為??~生殖調控和人工繁育技術的研發提供重要參考。


圖1 未分化、雄性和雌性個體的性腺組織學結構及轉錄組表達譜特征


圖2 性別發育候選基因篩選及表達定位分析
該項研究得到了國家現代農業產業技術體系(CARS-47)的資助,王煥博士為第一作者,崗位科學家柳淑芳研究員和廈門大學丁少雄教授為共同通訊作者。
相關成果及鏈接如下:
Wang, H.; Qu, M.; Tang, W.; Liu, S.*; Ding, S*. Transcriptome Profiling and Expression Localization of Key Sex-Related Genes in a Socially-Controlled Hermaphroditic Clownfish,Amphiprion clarkii. Int. J. Mol. Sci. 2022, 23, 9085.
主辦單位:黃海水產研究所
魯公網安備: 37020202000458號 魯ICP備:05024434號-8
工信部備案網站查詢:http://beian.miit.gov.cn
網站保留所有權,未經許可不得復制,鏡像